什麼是兒童早期矯正?

當孩子出現暴牙、牙縫過大、咬合不正或臉型歪斜,家長常會猶豫:「現在就矯正會不會太早?是不是等牙齒都換完再說?」其實,「早期矯正」正是幫助孩子避免日後更複雜矯正的重要關鍵。

京鼎將帶您深入了解什麼是兒童早期矯正、有哪些方法、流程及常見疑問,幫助家長把握孩子成長關鍵期,做出明智選擇。

兒童早期矯正,又稱為「預防性矯正」或「第一階段矯正」,指的是在孩子乳牙或混合牙期(約7~10歲)時,就針對牙齒排列、咬合不正、牙弓發育等問題提前介入的矯正治療。 目的不只是「把牙齒排整齊」,更重要的是引導上下顎正常發育,減少未來拔牙、正顎手術的機率,讓恆牙有足夠空間健康萌發。

兒童早期矯正的好處

Before After

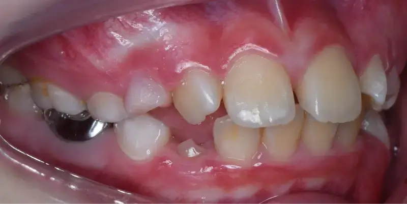
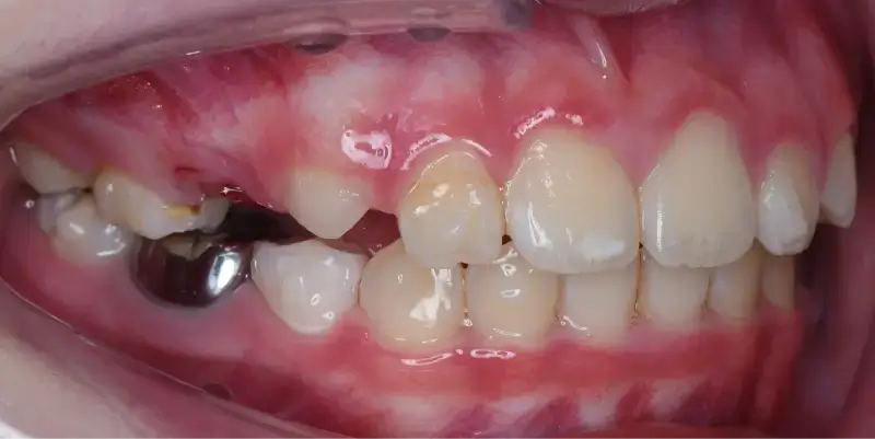
避免未來拔牙矯正

透過早期擴大牙弓、改善空間,能降低日後因擁擠而必須拔牙的情況。
Before After

預防臉型歪斜與大小臉

如單側咬合、下巴偏斜等問題,若不及時矯正,將可能導致骨性歪斜,進一步需要正顎手術。
Before After

改善口呼吸與過敏

錯誤的口腔習慣如張口呼吸,會影響牙齒發展與免疫力,早期矯正可重建正確呼吸、咀嚼模式,有助改善過敏。
Before After

避免未來拔牙矯正

透過早期擴大牙弓、改善空間,能降低日後因擁擠而必須拔牙的情況。

兒童早期矯正的常見方式

矯正類別 兒童隱適美 MRC 肌功能矯正器
外觀與舒適度 透明、不明顯;舒適度高 體積較大;需適應期
矯正原理 牙齒與咬合同步矯正 訓練口腔肌肉與呼吸功能
矯正效果 可改善牙列與咬合 主要改善肌功能,牙列效果有限
飲食與清潔 可取下,飲食清潔方便 可取下,清潔容易
治療週期 需長期、規律配戴 依配合度與肌力改善情況而定
價格 較高 較低
適用對象 輕中度齒列不整、需外觀美觀者 口肌發展不足、早期介入者

兒童早期矯正的流程

專人諮詢

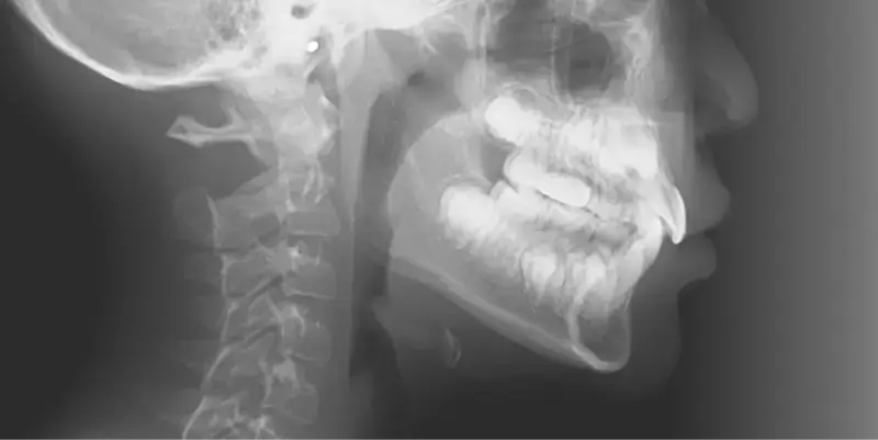
初步諮詢與X光評估

制定個別化矯正計畫

配戴矯正裝置

效率提升

定期回診與更換牙套

維持期觀察

兒童早期矯正的常見問題

其實很多孩子在充分溝通後,比家長想像中更有責任感,尤其是透明牙套不痛又不明顯,反而更願意配合,在我們的案例中有許多孩子都相當積極!
可以,早期矯正主要是針對骨骼與牙弓的發展,並不一定要等牙齒全換完,非常適合約7~10歲的乳牙恆牙混合齒列的孩子。
不只外觀,更關乎呼吸、發音、咀嚼功能與臉部骨骼發展。
早期使用的矯正器多為輕柔施力設計,孩子適應力高,通常1~2週即可習慣。

把握早期矯正的黃金時期

1

第1期:乳牙齒列期(6歲以前)

主要需培養孩童擁有良好的口腔衛生習慣,定期帶孩童至牙醫診所進行定期檢查和塗氟,從小養成看牙的習慣,一方面能夠由醫師協助把關口腔狀況外,也能避免長大後對看牙有著無法抹滅的恐懼。
2

齒列混合期(7~10歲)

相當於國小低至中年級,這時會開始進到乳牙換成恆牙的階段,也是牙齒移動速度快的時期,在這個階段接受矯正能夠擁有良好的矯正效率,因此也被定義為「兒童矯正的黃金期」。
3

年齡第3期:恆牙期(11歲以上)

此時能觀察到孩童差不多已經換牙完成,雖然矯正效率可能沒有兒童矯正黃金期來的好,但是牙齒骨骼仍在持續生長,青少年的配合度相對更高,若開始接受矯正也能擁有良好的矯正成果。

早期矯正後還要再矯正嗎?

早期矯正屬於「第一階段」,目的是為了改善結構性問題與預防性治療,等恆牙長齊後,或許可能需要第二階段矯正做細部微調,但相較從未矯正過的孩子,已做早期矯正的小朋友通常不需拔牙、減少正顎手術的風險,而且療程也會更短。

引導下巴正常發展

增加牙弓空間幫助換牙

減少拔牙開刀機率

改善口腔不良習慣

孩子的笑容

交給京鼎

孩子的笑容 交給京鼎

兒童隱適美推薦|京鼎牙醫3大優勢

在考慮兒童早期矯正時,選對醫師與診所至關重要。京鼎牙醫致力於提供孩子與家長安心、有效率的矯正經驗,擁有以下三大優勢:

專業兒童矯正團隊

京鼎牙醫由具備多年兒童矯正經驗的醫師主治,熟悉孩子的牙弓發展與口腔習慣問題,能夠針對每位小朋友的需求設計客製化的矯正計畫,包含MRC肌功能訓練、兒童隱適美、擴弓等多元方案,兼顧效果與舒適度。

一站式矯正追蹤服務

從乳牙期評估、混合牙期矯正,到換牙後的追蹤與第二階段矯正,京鼎提供完整治療流程與定期回診追蹤,家長無需奔波多家診所,療程穩定又安心。

兒童友善就診環境

診所內設有兒童專用診間,醫師與護理團隊具備兒童溝通技巧,讓孩子放鬆心情、願意配合治療,是建立良好矯正配合度的關鍵。
返回頂端