什麼人適合使用?
大範圍缺牙
已無法忍受
全口活動假牙
對 All-on-4® 的
價格卻步
身體狀況不佳
什麼人適合使用?
價格中庸
能大幅提升假牙
咬合、穩定度、舒適度
對高齡長輩友善
身體負擔較低
半固定全口重建 與 All-on-4® 的差異
| 項目 | All-on-4® | 半固定全口重建 | 全口活動假牙 |
|---|---|---|---|
| 咬合力 | 95分 | 70分 | 40分 |
| 舒適度 | |||
| 清潔頻率 | 正常刷牙 | 每次飲食後 | 每次飲食後 |
| 使用年限 | 10年以上 | 10年以上 | 3-5年 |
| 價格 |
患者見證
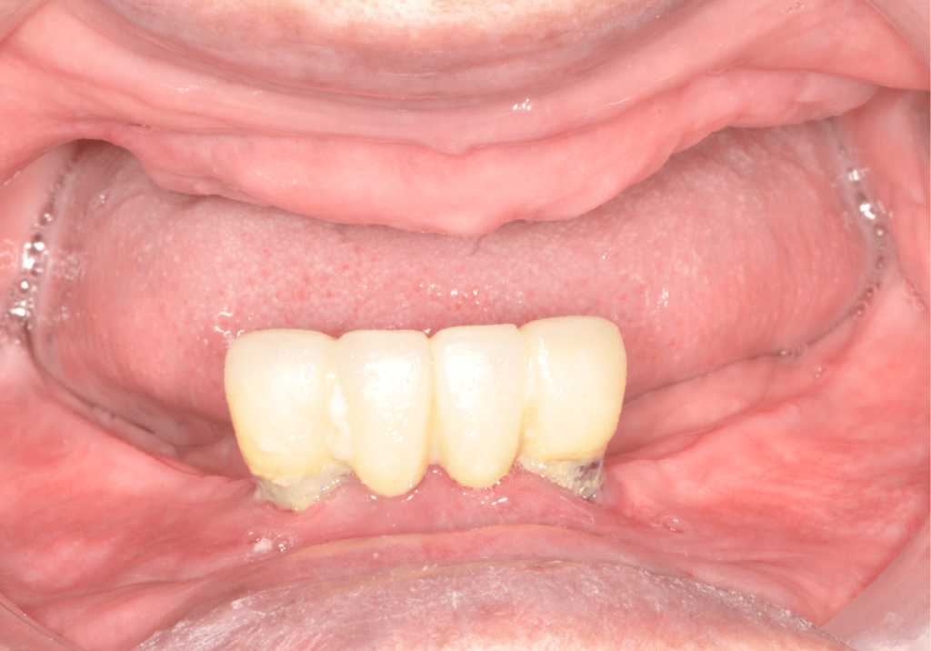
精準定位植牙,瞬間擺脫缺牙困擾
Before
After
曾先生
我因為一直都很忙、南北跑,等到牙齒嚴重晃動時才想到要看牙醫,我曾經也做過活動假牙,但根本咬不動!說來好笑,我自己賣水果卻無法先試吃產品,想要吃蘋果、芭樂只能請我女兒弄碎,不然只能吃過熟的水蜜桃、香蕉;後來我女兒希望我好好牙齒,又有朋友是林建佑院長的病患,特別推薦林院長!
我選擇「半固定全口重建」來改善後,很開心!現在我不必揣測水果的滋味,而是先試吃、並由衷推薦給我的客人!
我選擇「半固定全口重建」來改善後,很開心!現在我不必揣測水果的滋味,而是先試吃、並由衷推薦給我的客人!
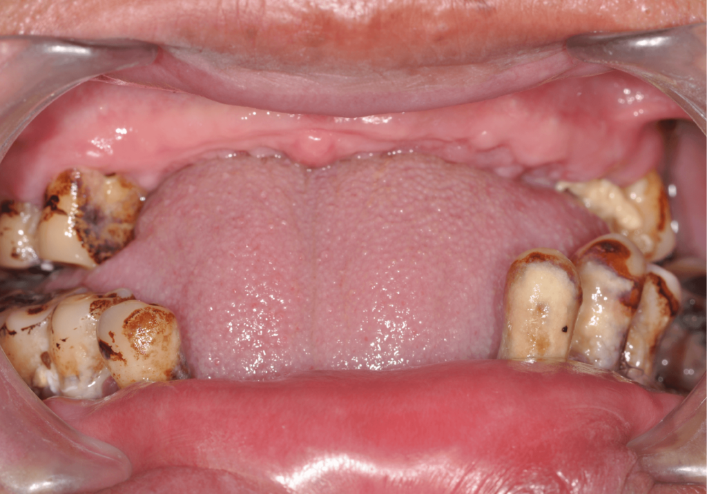
Before
After
葉媽媽
我媽媽已經80幾歲又有點失智症,以前已經做過2、3副活動假牙,但後來活動假牙戴都不戴住,只要吃一下東西就鬆掉,又會磨牙肉、疼痛破皮,媽媽年紀大了不想一直重做,也不願繼續用,變成飯也越吃越少、越來越瘦。
因為失智症還是要多「咀嚼」才有刺激,所以想重做假牙,幸好林院長很有耐心,還配合媽媽年輕時去植的兩顆植牙來規劃活動假牙,後來看到媽媽有牙齒的樣子,我真的好開心!好多年沒有看到了,我們家人都搶著跟媽媽合照。
因為失智症還是要多「咀嚼」才有刺激,所以想重做假牙,幸好林院長很有耐心,還配合媽媽年輕時去植的兩顆植牙來規劃活動假牙,後來看到媽媽有牙齒的樣子,我真的好開心!好多年沒有看到了,我們家人都搶著跟媽媽合照。
半固定全口重建常見問題
與All-on-4不同,All-on-4採用特殊設計植體,才可以在盡可能避免補骨的情況下手術,但半固定全口重建所使用的植體不同,仍需要視口腔情形適當補骨,才有效穩定植體與假牙。
實際補骨範圍,需現場評估口腔。
實際補骨範圍,需現場評估口腔。
有機會喔!舊的活動假牙若是符合現階段需求,或許可以與植體結合並繼續使用,但每個人的口腔情形不一樣,如果舊的活動假牙已不適用新的治療計畫,製作新的活動假牙會更舒適、穩定性與咬合力也會提升許多。
每個人的口腔情況都不一樣,因此是否真的能沿用活動假牙,看診時可攜帶舊的活動假牙來與醫師討論。
每個人的口腔情況都不一樣,因此是否真的能沿用活動假牙,看診時可攜帶舊的活動假牙來與醫師討論。
以目前的患者回饋,如果過去使用全口活動假牙的感受,咬合力並不及格、只有約40分,改換為半固定全口重建後,咬合力可以提升至75分,若使用All-on-4的感受則為95分,大多數反饋良好也改善了現有生活品質。
每個人的口腔都是獨一無二的,因此實際咬合重建仍視口腔情況而定,請多與醫師討論。
每個人的口腔都是獨一無二的,因此實際咬合重建仍視口腔情況而定,請多與醫師討論。