X-Guide藍光導航植牙機,是台灣少有的牙科配備,為目前世界上植牙方式中,更精準、安全的植牙系統,利用GPS般的光學動態追蹤功能,警示安全範圍亦能及時修正,提升手術的成功率。
X-Guide 3D植牙導航系統,讓植牙精準度達到±1度左右
精準度是傳統植牙的10~20倍
植牙方式比較
| 項目 | X-Guide藍光導航植牙 | 導引式植牙 | 傳統徒手植牙 |
|---|---|---|---|
| 精準度 | 非常精準 | 精準 | 根據醫師經歷 |
| 舒適度 | |||
| 安全度 | |||
| 傷口大小 | 小 | 大 | 大 |
| 手術張口大小 | 小口可進行 | 需要較大 | 適中 |
| 美觀性 | 較佳 | 較佳 | 較差 |
| 植體成功率 |
植牙手術的風險
可能會刺穿上顎鼻竇
造成顏面神經麻痺等後遺症
植體角度不當影響美觀術後有暴牙、牙齒歪斜等可能性
X-Guide藍光導航植牙機就是口腔中的導航機,引領醫師在更精準的位置預先定位,避開患者的神經、血管、上顎竇等危險位置,X-Guide藍光導航植牙機能幫助醫師即時修正,不需二次手術,同時在診所配有新式數位牙科器材,縮短手術及假牙製作時間,提高咬合舒適度,減少咬合、顳顎傷害。
X-Guide 5大優點
不必耗時製作
手術導板
手術前預先定位
提高植牙精準度
術中隨時監控
大幅提升患者安全性
提高植牙成功率
提高植牙成功率
效率提升、縮短手術時間
降低患者不適
為何選擇京鼎?
京鼎牙醫結合X-Guide藍光導航植牙
提供更精準、更專業的植牙服務
提供更精準、更專業的植牙服務
京鼎牙醫診所除了專業醫師,也重視您的假牙需求,自聘有牙技師為您服務,您可與牙技師溝通理想的假牙。
X-Guide藍光導航植牙
最舒適的手術體驗
最舒適的手術體驗
X-Guide藍光導航植牙不僅適用有植牙需求的患者,也適用對牙科手術有恐懼的患者,配合舒眠鎮靜專業團隊,提供您安穩的手術體驗。
京鼎牙醫診所提醒大家:所有的牙科療程都需親自由牙醫師診斷才能進行,因每個人口腔狀況、需求不同,建議您與牙醫師諮詢後,再決定適合自己的治療計畫。
京鼎牙醫診所提醒大家:所有的牙科療程都需親自由牙醫師診斷才能進行,因每個人口腔狀況、需求不同,建議您與牙醫師諮詢後,再決定適合自己的治療計畫。
患者見證
精準定位植牙,瞬間擺脫缺牙困擾
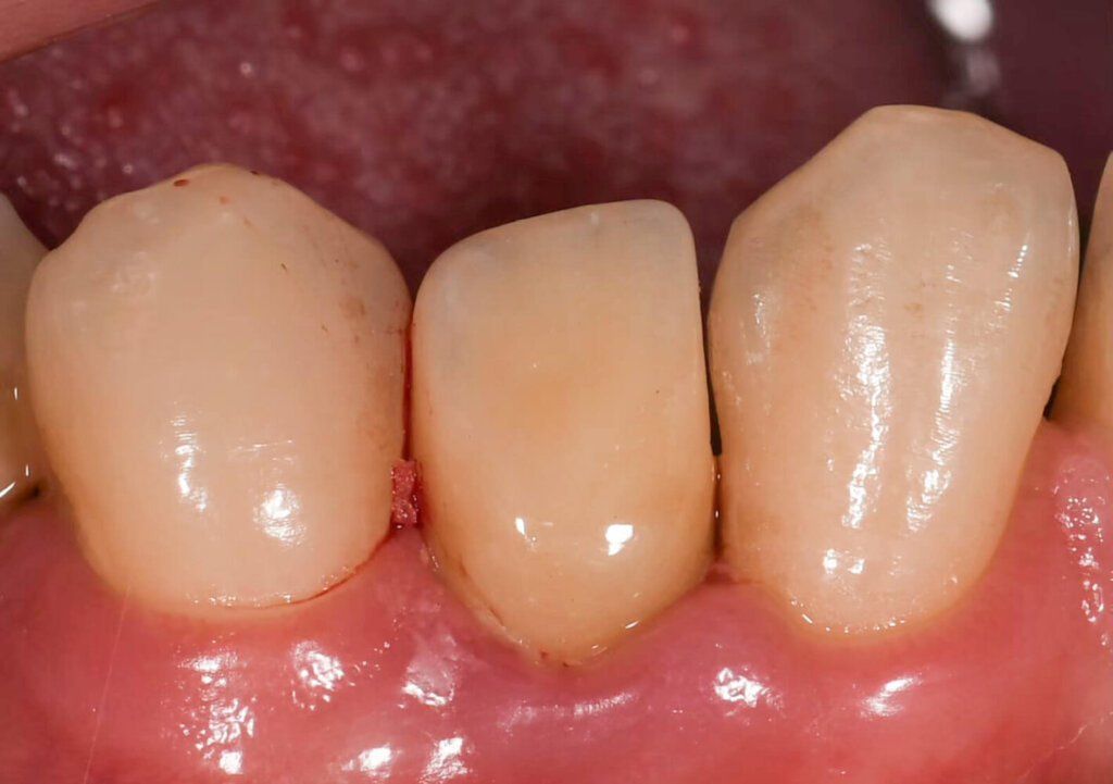
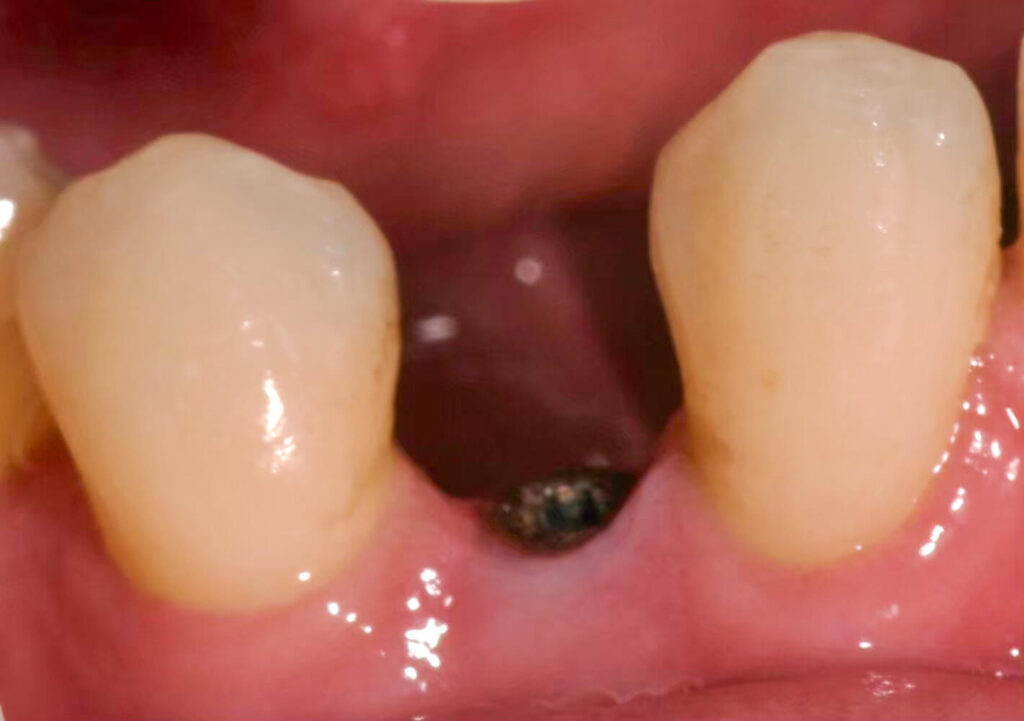
Before
After
A先生
A 先生的下排牙齒先天少一顆牙,導致周邊牙齒通通內擠過來,但仍然有一個小縫,而A先生一直以來的願望,就是能將這個縫補好。
雖然看起來是一個縫,但裡面的空間其實很小,因為除了上面牙齒傾倒,還要考量內部的骨頭空間,因此不是單純肉眼說可以就可以的。
A先生前後在其他間診所評估後,但因為空間狹小提升植牙難度,被拒絕了好幾次。
來到京鼎牙醫診所諮詢後,發現有X-Guide藍光導航機,且林建佑院長相當重視精准度,一顆植牙也會使用導航,提高成功率、讓患者用得長久!
後來手術前先用斷層確認骨頭狀態,來X-Guide藍光導航機來輔助植牙,有GPS定位找出適合的角度植牙,就算是小空間也能提升精准度,也減少患者要搭配其他療程的痛苦。
由於先天缺牙使用越久、年紀越大,對於咬合影響更劇烈,因此不論是後天缺牙還是先天少牙都會影響,因此先天缺牙也建議好好看待。
X-Guide 常見問題
導航儀可以幫助醫師在手術當下,更精準、更即時的找出適合植牙的位置,有效避免植牙角度不正確,或傷到牙周神經及其他重要構造的位置,如:上顎的鼻竇區。
不需要,X-Guide僅需要放置定位器搭配3D電腦斷層掃描的畫面,即可偵測口腔環境及構造位置。
X-Guide 透過即時導航的特色,已經應用在各式複雜的手術,如:骨科、腦神經外科等等,且技術很純熟,大幅增加醫師執刀的精確度以及手術的成功率。
X-Guide能夠透過定位器,在醫師手術時看見即時影像,而CT只能透過掃描看到靜止畫面,角度相對較為受限。
可以看到植體、牙周骨頭及神經,還有其他構造的位置,讓醫師知道適合植入的角度與深度。